Kambiz Negahban, M.D., Founder & President

15 Roche Brothers Way, Suite #150, North Easton, MA 02356

(Park in the back; enter via the side, not the main lobby)

(508) 238-2388
 
Comprehensive Eye Exam
Emergency Eye Care
All-Laser "Custom" Lasik
Flapless LASIK
Implantable Contact Lens
LASIK "Touch-Ups"
Cataract Surgery
Laser Cataract Surgery
Pterygium Surgery
Glaucoma Surgery
Diabetic & Hypertensive Retinopathy
Chalazion & Surgical Management
Intacs
Keratoconus & Corneal Transplant




KERATOCONUS & CORNEAL TRANSPLANT

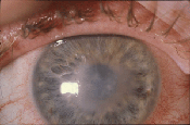
Keratoconus is an eye disease that often first shows up in the teens or early twenties and is characterized by a bulging and thinning cornea. The cornea, which is normally round, begins to bulge into the shape of a cone and this causes the vision to distort. Keratoconus can occur in one or both eyes and is usually slow to develop, which can make it difficult to detect.

Keratoconus
Normal Eye vs. Diseased Eye with Keratoconus

As the disease progresses and the cornea becomes increasingly distorted, nearsightedness and astigmatism can develop. Continual changes in an eyeglass prescription can be a sign that keratoconus may exist, and a complete, thorough eye examination at Easton Eye Consultants should be scheduled.


Diseased Eye Corneal Transplant


In its mildest forms, the effects of keratoconus may be alleviated with contact lenses or eyeglasses, but as the disease progresses these may no longer be sufficient to correct the impaired vision. More drastic treatments, including piggybacking contact lenses or combining contact lenses with eyeglasses, may be needed, but in more extreme cases Intacs and other corneal implants may be considered. Additionally, there are exciting international reports about collagen cross-lining therapy to treat and stabilize keratoconus, and Dr Negahban plans to offer this promising procedure once it has gone through its full FDA approval.





In more severe cases, corneal transplants may be considered as a way to combat the effects of keratoconus. This procedure, one with which Dr. Negahban has much experience and expertise, can provide relief for those who find rigid contact lenses intolerable or whose disease has outgrown other treatment plans.

It is possible to have LASIK or PRK treatment on the transplanted cornea, a procedure that may make future use of glasses or contact lenses unnecessary. Laser surgery on corneal transplants results in quicker procedures with reduced recovery times and better vision with less astigmatism, and we at Easton Eye Consultants can answer all your questions about this valuable service.

Please call us at (508) 238-2388 to arrange a complete eye examination that may disclose the presence of keratoconus or other eye conditions or diseases. We are experts at diagnosing and resolving all eye conditions, and your vision is too precious to trust with those who don't take it as seriously as we do.

back to top